Solo la tecnología más avanzada le acaba de permitir a los científicos ver algo que siempre estuvo ahí: un espacio intersticial "no identificado" hasta ahora, lleno de cavidades de líquido, presente dentro y entre los tejidos de nuestro cuerpo. Un grupo de expertos lo califica como un nuevo órgano.
Quienes lo descubrieron lo definen como "una nueva expansión y especificación del concepto del intersticio humano", algo que tradicionalmente en biología se refería al espacio entre las células y los tejidos del organismo.
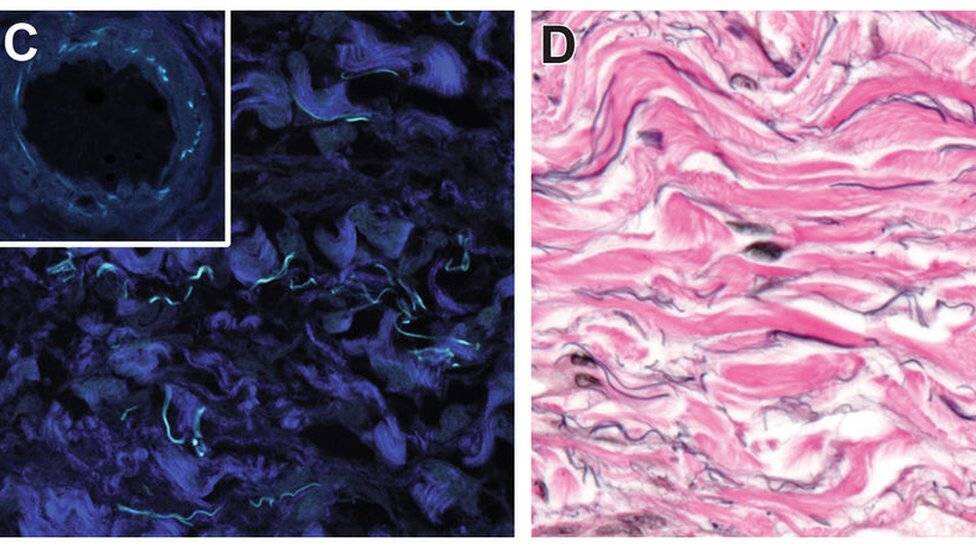
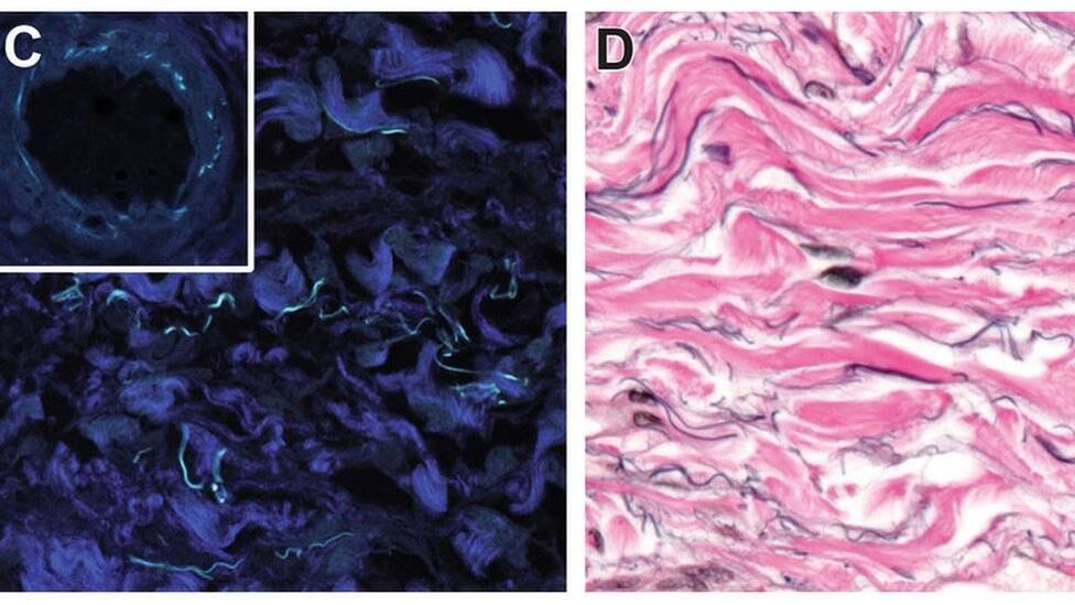
Paradójicamente "el intersticio" se podría convertir en uno de los órganos más grandes, junto a la piel: los científicos estiman que esta red de cavidades de colágeno y elastina rellenas de líquido aglutinaría más de un quinto de todo el fluido de nuestro organismo.
Lo identificó un equipo de patólogos de la Escuela de Medicina de la universidad NYU, de Estados Unidos, que acaba de publicar sus resultados en la revista Scientific Reports.
Los expertos concluyeron que estas capas intersticiales de nuestro organismo, que antes se creían formadas por un tejido conectivo denso y sólido, están en realidad interconectadas entre sí, a través de compartimentos llenos de líquido.
Estos tejidos están debajo de la piel, recubren el tubo digestivo, los pulmones y el sistema urinario y rodean las arterias, venas y la fascia, una estructura de tejido conectivo que se extiende por todo el cuerpo.
Los investigadores creen que esta "estructura anatómica" puede ser importante para explicar la metástasis del cáncer, el edema, la fibrosis y el funcionamiento mecánico de muchos o todos los tejidos y órganos de nuestro cuerpo.
¿Cómo no lo habían visto hasta ahora?
Con los métodos estándares de visualización de la anatomía humana no se perciben estas estructuras.
Los científicos pudieron identificar este nuevo "órgano" gracias a los avances tecnológicos de la endomicroscopia en vivo, que muestra en tiempo real la histología y estructura de los tejidos.
Pero el hallazgo fue una sorpresa.


