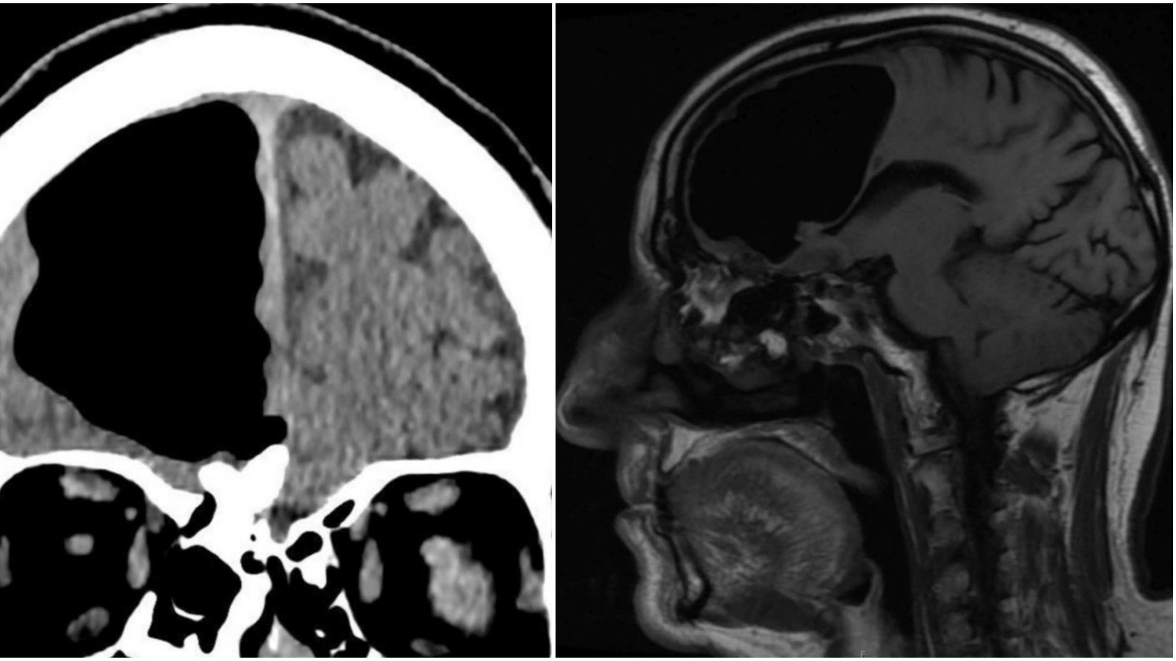
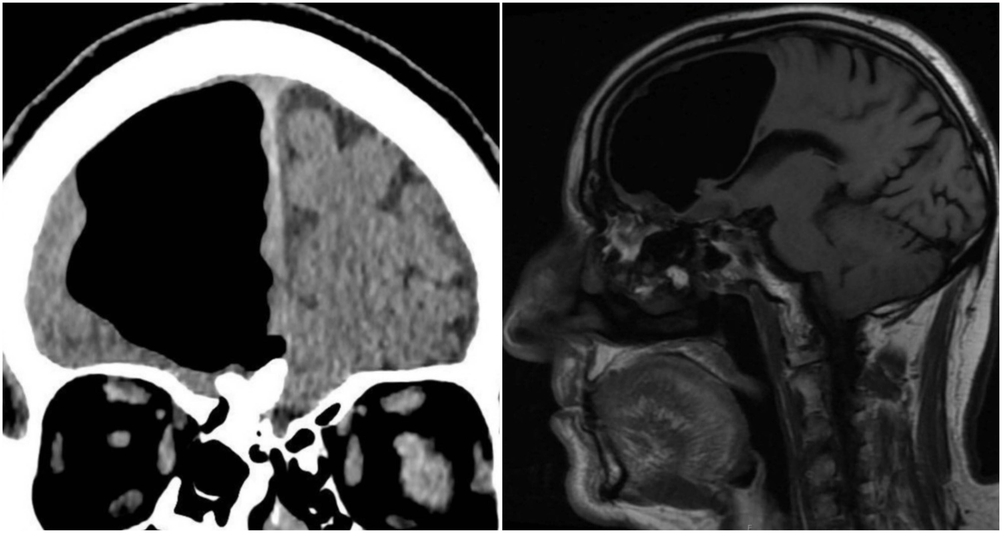
Los doctores no lo podían creer, pero los exámenes eran claros y mostraban una cavidad de aire de unos 9 centímetros en el lóbulo frontal derecho de un hombre de 84 años en el lugar donde debía estar su cerebro.
El caso fue expuesto en el British Medical Journal (BMC) y los médicos afirman que no pudieron encontrar “muchos casos documentados de una naturaleza similar”
«Todos estábamos perplejos por las imágenes que vimos», le dijo el doctor Finlay Brown al Washington Post en declaraciones que reproduce el Evening Standard.

El sujeto había llegado al servicio de urgencias debido a “caídas recurrentes durante varias semanas y la aparición de debilidad en el lado izquierdo”, señala el BMC.
Tras ello, el hombre fue sometido a una tomografía computarizada y se encontraron con el increíble hallazgo.
Los facultativos creen que la “bolsa de aire” comenzó a desarrollarse luego de un pequeño golpe en la cabeza y que estaba incrementaba su tamaño a medida que el hombre tosía, olfateaba o estornudaba, con lo cual le “inyectaba pequeñas cantidades de aire a la cabeza”.

Tras el diagnóstico, el “paciente se sometió a un período de observación y rehabilitación y se le ofreció una cirugía que habría implicado una craneotomía”, sin embargo “tomó la decisión informada de no proceder dados los riesgos y beneficios” de la intervención, agrega el informe.
El hombre finalmente fue dado de alta luego “una estadía prolongada en el hospital” y se encuentra sin mayores complicaciones.

