Pensando en que la capacidad diagnóstica es uno de los pilares para combatir la pandemia, la startup chilena Alumbra desarrolló la plataforma Toraxia, una aplicación gratuita basada en la web que analiza rápidamente las radiografías de tórax, en la nube pública de IBM. ¿Su misión? determinar en segundos si la imagen contiene signos patológicos que concuerdan con un cuadro diagnóstico por covid-19.
Uno de los principales desafíos que enfrentan hoy los hospitales y centros de salud en Chile es el análisis adecuado de las radiografías de tórax para identificar el estado de los pacientes con complicaciones pulmonares, especialmente aquellos infectados o sospechosos de estar infectados con el nuevo Coronavirus. Al alojar la aplicación Toraxia en la nube pública de IBM, Alumbra puede responder más rápido a las solicitudes de evaluación de imágenes y ayudar a los profesionales de salud a agilizar su decisión oportuna del tratamiento.
El equipo de Alumbra-Toraxia, compuesto por médicos y científicos de datos, desarrolló su propio algoritmo de inteligencia artificial basado en más de 200,000 imágenes, de las cuales 30,000 fueron específicamente con patrones sugerentes de COVID-19 disponibles por la Asociación de Radiología de América del Norte. Basada en la nube pública de IBM, la plataforma puede procesar millones de radiografías por semana de hospitales de todo el país, lo que ayuda a reducir el examen de rayos X de horas a minutos, al tiempo que minimiza los posibles errores de diagnóstico y permite a los médicos concentrarse en casos con un nivel más alto de urgencia.
“Según la experiencia de otros países, hemos visto que la pandemia genera un volumen de imágenes radiológicas que excede la capacidad de atención de los radiólogos, sumado a los más de seis millones de pacientes chilenos con enfermedades respiratorias que necesitan asistencia médica cada año, que puede abrumar a los hospitales y centros de salud en esta próxima temporada de invierno”, explica el investigador Raúl Albertti, líder de Alumbra. «Con Toraxia ejecutándose en la nube pública de IBM, podemos brindar apoyo a los servicios de salud en todo el país, ampliando nuestra plataforma según sea necesario para que los médicos puedan ayudar a más pacientes en estos tiempos difíciles».
La aplicación Toraxia fue posible gracias al soporte de Startup With IBM, un programa que apunta a apoyar a emprendedores y startups a través del acceso a infraestructura y servicios en la nube pública de IBM, que puede alcanzar hasta US $120,000 dólares por año en créditos. Estos créditos se pueden utilizar para acceder a más de 130 servicios de la compañía, incluidos los servicios de nube pública.
«Con una demanda que aumenta día a día, Toraxia cuenta con la seguridad y la escalabilidad de la nube pública de IBM, que permite mayor rapidez en análisis de grandes cantidades de datos no estructurados y ayudar a su vez a los médicos a tomar decisiones más veloces», expresó Agustín Bellido, Gerente de Cloud de IBM Chile. «Nuestro equipo supervisa de cerca las plataformas de desarrollos sociales como este, y al ayudar a las nuevas empresas a aprovechar el poder de la nube pública de IBM, podemos ayudar a fomentar las innovaciones críticas que promoverán el bienestar de todos».
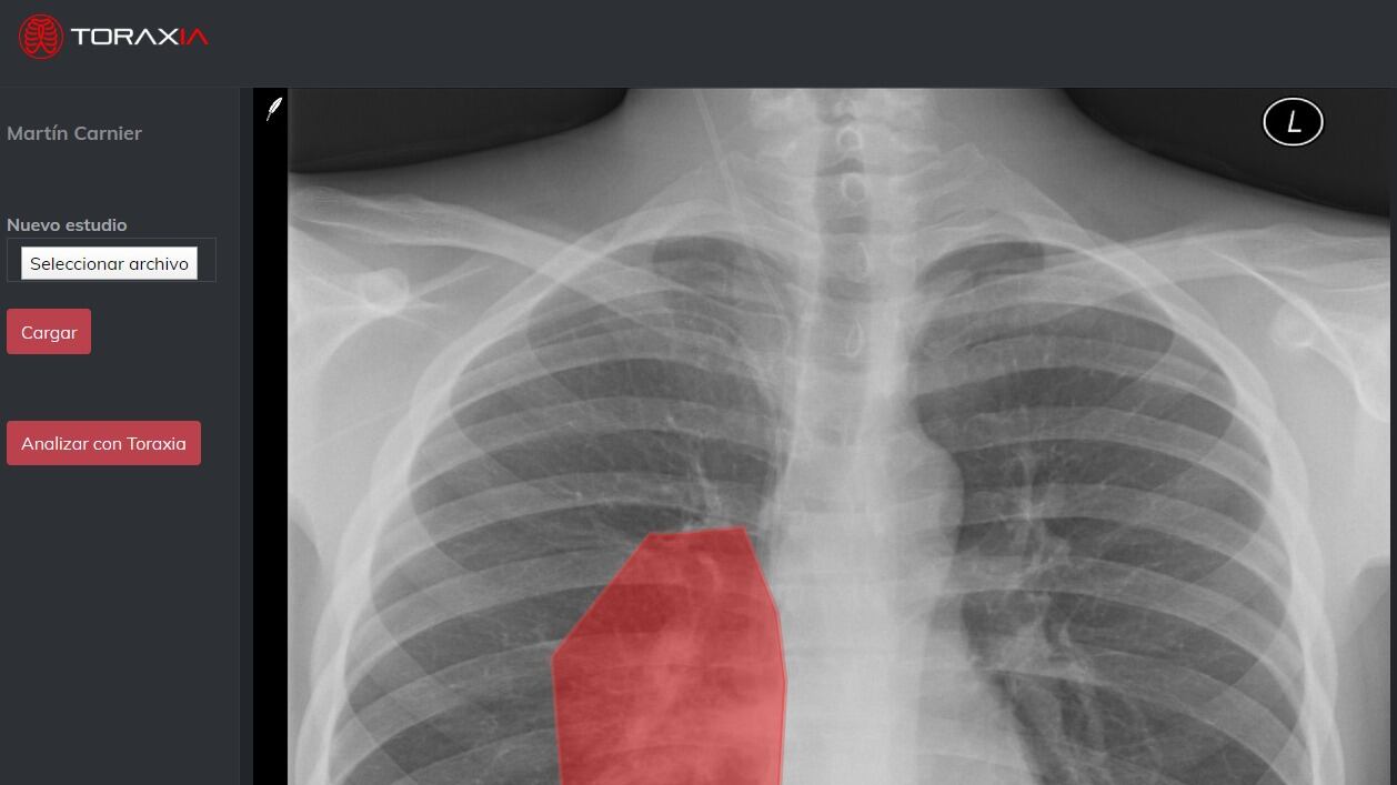
Los médicos pueden acceder a Toraxia desde su computadora o teléfono inteligente, iniciar sesión con su correo electrónico y cargar una imagen DICOM o JPG con la radiografía de tórax. Opcionalmente, pueden indicar los síntomas del paciente para recibir, en segundos, una evaluación con indicadores de riesgo, signos patológicos encontrados y niveles de compromiso pulmonar indicados por mapas de calor.


